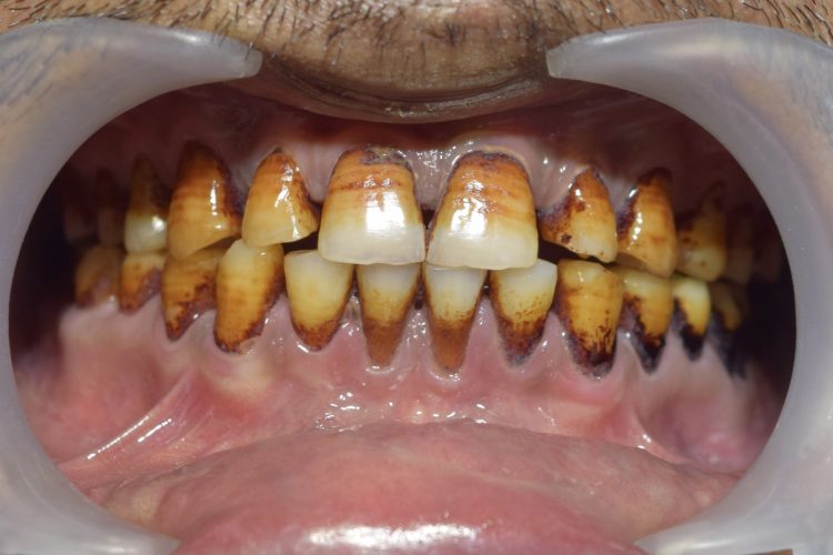
THE TEETH WHITING METHOD
Teeth Whitening
We use custom made bleaching trays. This is an effective and gentle process you do at home over a few weeks. We also provide in-house bleaching system for those who are unable to do the home method.
Patients Teeth Before & After Teeth Whitening
Kokilaben
Everyone in the office was professional, approachable, and listened to my concerns. Dr. JAYESH did a nice job of explaining the procedure and allaying my concerns. I planned to go forward with an implant.
Manubhai Patel
I was very nervous to have an implant put in, but everyone was super nice, and set me at ease. The procedure actually really quick and painless too.
Priyanka Sisodiya
KABIR DENTAL CLINIC is a professional operation, DR JAYESH is a professional DENTIST, the support staff is wonderful, and I even like the artwork and style of your waiting room.
Jigishaben Modi
Excellent doctor!!! We had a very pleasant experience with Dr. Jayesh and his staff. I was very anxious about the appointment and any procedure, but Dr. Jayesh was very patient with me and spend a lot of time trying to calm me down, the staff was very helpful and kind and always available to help.
Hirenbhai
Dr. Jayesh has the best chair side manner of any dentist I have ever seen. All the assistants are friendly and there to help you every step of the way. I have always been treated with care and everyone is very professional. I have had a severe attrision and sensitivity and eating certain foods was limited.
Rameshbhai
Dr. Jayesh and his staff at kabir Dental are, in a single word - AWESOME!!!! I've found my new dental "home" -- everyone is kind and compassionate -- and I appreciate them taking the time to answer any questions that I might have . Kabir Dental made me feel so at ease and very comfortable.
Harshal Amin
Awesome Dentist... Dr. Jayesh And Dr. Vanashree are Very professional and Straight forward of what needs to be done... I live 25 kilometres away but I’m more comfortable coming to this Dental clinic than the One across my Street... I highly recommend Kabir Dental Clinic to my friends.
Manjulaben Patel
I had undergone treatment of full mouth implant surgery and I just want to say thank-you for an amazing service. My mouth is so much more comfortable now with the implant in place.
Manibhai patel
We love it! So honest and down to earth! A dying breed in the world of dentistry! Dr.Jayesh and Dr vanashree are super gentle and patient! Won't go anywhere else!
Maulikbhai
Dr Jayesh is an excellent dentist. He took the time to explain every procedure He was doing. For example, when I got my teeth whitened, Dr. Jayesh was very supportive, and thorough when explaining the process. He is a professional and has a naturally lovely personality. He is the best dentist I have ever had.
Request an Appointment
SCHEDULE A CONSULTATION
Fill out the form below and we will contact you during our working hours. If you have a dental emergency, please call +(91) 9726677677.